CLOSE

Protocolli innovativi di radioterapia per il trattamento del tumore alla prostata

Pubblicato il: 25 novembre 2020, ComunicatoStampa, Novità

In occasione di Movember e nell'ambito multidisciplinare di uro-oncologia, la Divisione di Radioterapia illustra i numerosi protocolli innovativi di radioterapia per il trattamento del tumore alla prostata

 

In occasione del mese della salute maschile e della prevenzione del tumore alla prostata e nell'ambito multidisciplinare di uro-oncologia, la Divisione di Radioterapia illustra i numerosi protocolli innovativi di radioterapia per il trattamento del tumore alla prostata in stadio iniziale e avanzato, finanziati dall’Associazione Italiana per la Ricerca sul Cancro (AIRC). A seguire, un elenco dei principali trattamenti proposti.

  • Ioni Carbonio (AIRC IG-14300)        
    Tumore alla prostata ad alto rischio

Questo trattamento innovativo, rivolto a persone con tumore della prostata ad alto rischio, si sviluppa in due fasi, la prima presso il Centro Nazionale di Adroterapia Oncologica (CNAO) e la seconda presso lo IEO. La adroterapia con ioni carbonio al CNAO migliora l’efficacia del trattamento poiché riesce a vincere la radioresistenza delle più aggressive forme tumorali e riduce al minimo i possibili effetti collaterali agendo in modo diretto e preciso sul bersaglio tumorale e preservando gli organi sani circostanti.

Marvaso G, Jereczek-Fossa BA, Riva G, Bassi C, Fodor C, Ciardo D, Cambria R, Pansini F, Zerini D, De Marco P, Cattani F, De Cobelli O, Orecchia R. High-Risk Prostate Cancer and Radiotherapy: The Past and the Future. A Benchmark for a New Mixed Beam Radiotherapy Approach. Clin Genitourin Cancer. 2017 Jun;15(3):376-383. doi: 10.1016/j.clgc.2017.01.007. Epub 2017 Jan 18. PMID: 28190704.

  • Give Me Five (AIRC IG-13218)         
    Tumore alla prostata localizzato

Il trattamento prevede radioterapia ultraipofrazionata sulla prostata, cioè somministrata in sole 5 sedute a giorni alterni. La tecnica utilizzata consente di trattare il tumore con altissima precisione e il risultato è paragonabile a quello ottenibile con la chirurgia, ma l’invasività e gli eventuali effetti collaterali sono ridotti al minimo. Inoltre, la breve durata del trattamento rispetto alla radioterapia convenzionale (10 giorni vs 1 mese) migliora sensibilmente la qualità di vita del paziente.

Marvaso G, Riva G, Ciardo D, Gandini S, Fodor C, Zerini D, Colangione SP, Timon G, Comi S, Cambria R, Cattani F, De Cobelli O, Orecchia R, Jereczek-Fossa BA. "Give me five" ultra-hypofractionated radiotherapy for localized prostate cancer: non-invasive ablative approach. Med Oncol. 2018 May 10;35(6):96. doi: 10.1007/s12032-018-1155-y. PMID: 29748830.

  • RADIOSA (AIRC IG-22159)    
    Tumore alla prostata oligometastatico

Il trattamento è rivolto ai pazienti con tumore alla prostata che presentano un numero limitato di metastasi, che vengono trattate con radioterapia stereotassica in possibile associazione con terapia ormonale. Numerosi studi hanno infatti dimostrato che per questo tipo di neoplasie, la radioterapia consente di rallentare la progressione di malattia. Anche in questo caso, l’obiettivo è quello di migliorare l’efficacia del trattamento e al tempo stesso di garantire un’elevata qualità di vita per il paziente.

Marvaso G, Ciardo D, Corrao G, Gandini S, Fodor C, Zerini D, Rojas DP, Augugliaro M, Bonizzi G, Pece S, Cattani F, Mazzocco K, Mistretta FA, Musi G, Alessi S, Petralia G, Pravettoni G, De Cobelli O, Di Fiore PP, Viale G, Orecchia R, Jereczek-Fossa BA. Radioablation +/- hormonotherapy for prostate cancer oligorecurrences (Radiosa trial): potential of imaging and biology (AIRC IG-22159). BMC Cancer. 2019 Sep 10;19(1):903. doi: 10.1186/s12885-019-6117-z. PMID: 31500605; PMCID: PMC6734417.

 

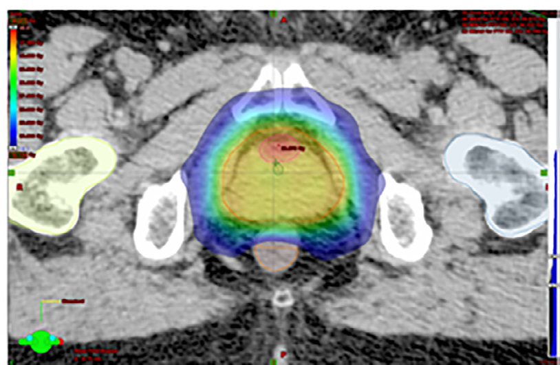
Esempio di piano di cura radioterapico per il trattamento del tumore alla prostata (Mambretti et al. – Radiother Oncol 2018) 

Nella foto: Barbara Alicja Jereczek-Fossa, Direttore Divisione di Radioterapia e Professore Associato presso l’Università degli Studi di Milano (UniMi); Giulia Marvaso, Oncologo Radioterapista e Ricercatore UniMi; Stefania Volpe, Medico Radioterapista e Dottoranda presso la Scuola Europea di Medicina Molecolare (SEMM); Matteo Pepa, Ingegnere Biomedico; Francesco La Fauci, Specialista in Fisica Medica e Ricercatore AIRC; Mattia Zaffaroni, Biotecnologo; Giulia Corrao, Giancarlo Mazzola, Luca Bergamaschi, Medici Specializzandi UniMi in Radioterapia Oncologica.

UN PICCOLO GESTO E' PER NOI UN GRANDE AIUTO

PARTNERSHIP

Università degli Studi di Milano

ACCREDITAMENTI PRINCIPALI

Ministero della Salute Joint Commission International bollinirosa

© 2013 Istituto Europeo di Oncologia - via Ripamonti 435 Milano - P.I. 08691440153 - Codice intermediario fatturazione elettronica: A4707H7

IRCCS - ISTITUTO DI RICOVERO E CURA A CARATTERE SCIENTIFICO